آبسه دندان یکی از شایعترین و دردناکترین عفونتهای دهان است که بسیاری از افراد در طول زندگی خود حداقل یکبار آن را تجربه میکنند. این بیماری معمولاً به دلیل تجمع باکتریها در ناحیه ریشه دندان یا لثه ایجاد میشود و در صورت عدم درمان بهموقع میتواند منجر به آسیبهای جدیتری مانند تخریب استخوان فک، لقی دندان یا حتی گسترش عفونت به سایر نواحی بدن شود. از اینرو، شناخت علائم، علل و روشهای درمان آبسه دندان، گامی مهم در حفظ سلامت دهان و دندان به شمار میرود. در این مقاله تلاش کردهایم تا بهصورت کامل و کاربردی، به بررسی علل ایجاد آبسه، انواع آن، علائم هشداردهنده، و روشهای مختلف درمانی چه پزشکی و چه خانگی بپردازیم. همچنین نکاتی درباره پیشگیری از این مشکل، و زمان مناسب برای مراجعه به دندانپزشک نیز مطرح شده است تا بتوانید با آگاهی بیشتر از بروز این بیماری دردناک جلوگیری کرده یا در صورت بروز، سریعاً اقدامات مناسب را انجام دهید.
| بخش | توضیحات |
|---|---|
| تعریف آبسه دندان | آبسه دندان یا لثه نوعی عفونت دردناک است که در اثر تجمع باکتریها در ریشه یا بافتهای اطراف دندان ایجاد میشود و معمولاً با تورم، درد و گاهی تب همراه است. |
| انواع آبسه | آبسه لثه (جینجیوال): فقط لثه را درگیر میکند و ارتباطی با ریشه دندان ندارد. آبسه پریودنتال: استخوان اطراف دندان را نیز درگیر کرده و با درد فک همراه است. آبسه پریاپیکال: ریشه دندان را تحت تأثیر قرار داده و ممکن است به عصبها نیز آسیب برساند. |
| درمان آبسه | درمان پزشکی: مصرف آنتیبیوتیک، درمان ریشه (روت کانال)، یا کشیدن دندان در موارد شدید. درمان خانگی: تخلیه محتویات آبسه با رعایت نکات بهداشتی یا استفاده از خمیر نشاسته برای جذب عفونت (درمان موقت). |
| علل ایجاد آبسه | پوسیدگی دندان، ضربه به دندان، بیماری لثه، باقی ماندن مواد غذایی بین دندانها و عدم رعایت بهداشت دهان و دندان. |


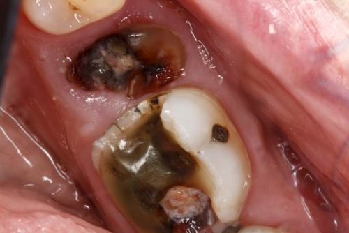
آبسه دندان
به طور کلی آبسه لثه یا دندان یک بیماری عفونی همراه با درد می باشد. که در داخل لثه یا دندان بروز پیدا می کند و شکل تورم آن قرمز رنگ است. بعضی از افراد بر این عقیده اند که آبسه صرفاً بر اثر باقی ماندن مواد غذایی بین دندان ها و تولید باکتری به وجود می آید. بله این مورد درست می باشد، اما تنها دلیل آبسه شدید دندان نیست. چرا که عوامل مختلفی نظیر پوسیدگی، شکستگی و آسیب به لثه موجب آبسه دندان و لثه می شود. پس باید بدانید که برای آبسه دندان چی خوبه و چگونه می توان درمان آبسه دندان را به روش صحیح و اصولی انجام داد تا از آسیب به سایر بخش های دهان و دندان جلوگیری به عمل آورید.


در واقع باید توجه داشته باشید پیشروی این بیماری عفونی و عدم درمان آبسه ممکن است آسیب های جدی تری را به دندان ها و لثه وارد کند. بنابراین همواره درمان آبسه لثه و دندان را در اولویت قرار دهید و در صورتی که نمی توان با درمان خانگی آبسه دندان این بیماری را برطرف کنید، سریعاً به مطب و کلینیک دندانپزشکی مراجعه نمایید.
روش درمان آبسه دندان
آنتی بیوتیک ممکن است شروع تجویز دندانپزشک پس از مراجعه باشد، در برخی موارد نیز با ایجاد حفره ای از راه کانال ریشه سعی در تخلیه عفونت خواهد کرد. در صورت عدم موفقیت کشیدن دندان آخرین راه درمان آبسه دندان است که برای جلوگیری از علت درد بعد از کشیدن دندان باید آنتی بیوتیک و یا بهترین چرک خشک کن دندان مصرف کنید. بهتر است هر چند مدت یکبار به دندانپزشک مراجعه کنید تا از سلامت دندان ها اطمینان حاصل کنید.
درمان آبسه دندان در خانه
در کنار کلیه روش های پزشکی درمان آبسه دندان، روش های سنتی نیز وجود دارد. در واقع تخلیه (ترکاندن) آبسه دندان یکی از راهکارهای خانگی و سنتی محسوب می شود. البته اگر پس از ترکاندن آبسه دندان هیچ اثری از باقی نماند، این بیماری مزمن دهان و دندان برطرف خواهد شد. در غیر این صورت به لحاظ باقی ماندن بخشی از آبسه در لثه یا دندان، مجدداً در یک نقطه دیگر نمایان می شود. بنابراین اگر قصد درمان خانگی آبسه دندان دارید، در ترکاندن و تخلیه کامل بقایای آبسه اطمینان حاصل کنید.
نحوه تخلیه آبسه دندان در خانه بدین صورت است که؛ با یک جسم نوک تیز (بهداشتی و استرلیزه) آبسه را بترکانید و سپس ترشحات و ضایعات آن را از دهان خارج کنید. البته این نحوه تخلیه آبسه دندان خطرناک می باشد و صرفاً یک درمان موقت جهت کاهش یا تسکین درد در ناحیه دندان و لثه محسوب می شود. زیرا همان طور که در بخش قبل اشاره کردیم امکان انتقال عفون سایر قسمت های دهان و دندان وجود دارد. بنابراین اگر قصد تخلیه آبسه در خانه دارید، پیشنهاد می کنیم مقداری نشاسته را با آب ولرم ترکیب نموده و سپس روی محل آبسه دندان قرار دهید. در این روش خانگی درمان آبسه دندان، عفونت و ضایعات درون آبسه جذب خمیر نشاسته می شود و درصد نفوذ آن به سایر بخش های دهان و بدن به حداقل میزان ممکن می رسد.
هم چنین همانطور که در نشریه معتبر NHS آمده است:
Dental abscesses are usually treated by a dentist. The dentist will drain away the pus.
If a problem with your tooth has caused the abscess, you may need root canal treatment, or the tooth may be removed. You’ll be given a local anaesthetic, so you do not feel any pain.
You may be offered painkillers to take for a few days after treatment and may also be given antibiotics.
در پایان خاطر نشان می شود با توجه به اینکه دهان و دندان یکی از بخش های اصلی و مهم بدن هستند، توصیه می کنیم برای درمان آبسه دندان حتماً به مطب ها و کلینیک های تخصصی دندانپزشکی مراجعه کنید. تا ضمن شستشوی دهان و ضدعفونی کردن دندان ها، درمان آبسه به صورت اصولی و براساس استانداردهای دندانپزشکی انجام شود.
انواع آبسه دندان
تا اینجا با مفهوم آبسه دندان، علت و علائم آن آشنا شدید. اکنون زمان آن فرا می رسد تا ضمن کسب آگاهی نسبت به انواع آبسه دندان و لثه از بهترین روش های درمان خانگی و پزشکی استفاده نمایید. تا ضمن بهبود وضعیت دندان ها و لثه، کمتر شاهد بروز این قبیل عفونت های مزمن و دردناک دهان باشید. بدین ترتیب برخی از مهمترین انواع آبسه لثه و دندان به شرح زیر عبارت است از:
1.آبسه لثه یا جینجیوال (gingival abscess)
همان گونه که نام این نوع آبسه پیداست، صرفاً در ناحیه لثه بروز پیدا می کند و ربطی به دندان ندارد. با این توصیف می توان گفت هیچگونه آسیبی به دندان ها نمی رساند. اما این بدان معنی نیست که نباید درمان آبسه لثه در خانه یا مطب های دندانپزشکی را جدی نگیرید. زیرا اگر آبسه لثه پیشروی کند، ممکن است که لثه را در بر بگیرد و بدین ترتیب کنترل و درمان آن با مشکل جدی مواجه گردد. پس درمان آبسه لثه نیز مانند درمان آبسه دندان از اهمیت بالایی برخوردار است و همواره مورد توجه دندانپزشکان و متخصصان بیماری های دهان و دندان قرار دارد.
2.آبسه پریودنتال (periodontal abscess)
این نوع آبسه عفونت بسیار شدیدی دارد و ضمن عبور از دندان ها، استخوان های اطراف دندان را نیز تحت شعاع قرار می دهد. به همین جهت آبسه بیماری پریودنتال با درد در ناحیه فک نیز همراه می باشد و بعضاً درد در نواحی زیر چانه هم احساس می شود. بدین ترتیب باید با نحوه تخلیه آبسه دندان در خانه آشنایی داشته باشید. تا با انجام آن این نوع آبسه را درمان کرده و درد آن را به حداقل میزان ممکن کاهش دهید.
3.آبسه پری اپیکال (periapical abscess)
آبسه دندان پری ایپکال یکی از حساس ترین موارد ابتلا به عفونت های دهان و دندان است. چرا که این آبسه دندان خیلی سریع به بافت دندان نفوذ می نماید و در آخر نیز ریشه دندان میکروبی شده و به آبسه مبتلا می گردد. با این توصیف می بایست رفع آبسه دندان پری اپیکال را جدی گرفت. به لحاظ اینکه ریشه دندان به عصب نزدیک بوده و ضمن درگیری شدن یکی از عصب ها، بقیه دندان ها نیز متحمل درد خواهند شد. بنابراین در صورت مشاهده آبسه شدید دندان سریعاً به مطب و کلینیک های دندانپزشکی مراجعه کنید. تا ضمن انجام معاینات و بررسی های دقیق، بهترین روش درمان آبسه دندان برای روی لثه و دندان هایتان انجام شود.
علت آبسه دندان چیست؟
آبسه لثه یا دندان به علت های مختلف مانند ضربه به دندان، بیماری لثه، پوسیدگی های دندانی و عدم رعایت بهداشت دهان و دندان ایجاد می شود. معمولا افرادی که مسواک نمی زنند و نخ دندان استفاده نمی کنند بیشتر درگیر این بیماری می شوند، پس رعایت بهداشت دهان و دندان و استفاده از بهترین برند و مدل نخ دندان و همچنین بهترین برند و مدل مسواک بین دندانی بهترین کار برای پیشگیری از دچار شدن به این بیماری و بیماری های دیگر دهان و دندان است.
پوسیدگی دندان شایع ترین مشکل اکثر مردم است این پوسیدگی توسط باکتری های معمولی ایجاد می شوند. ذرات غذا تغذیه باکتری ها می باشد و تقریبا 20 دقیقه پس از صرف غذا فرصت دارید تا از تشکیل اسید تولید شده از باکتری ها جلوگیری کنید. ماده تولید شده از باکتری ها به نام پلاک دندان اگر از بین نرود به مرور زمان سخت شده و باعث ایجاد جرم دندان می شود، این جرم دندان علاوه بر عفونت لثه باعث پوسیدگی دندان و سپس دردسرهای بعدی خواهد شد.
علائم آبسه دندان
آبسه دندان می تواند نشانه های مختلفی داشته باشد. از بین این نشانه ها می توان به موارد زیر اشاره کرد:
- تغییر رنگ و التهاب علت ورم لثه
- بوی بد دهان در حین تنفس و صحبت کردن
- احساس درد در دندان و لثه هنگام غذا خوردن
- تب بی علت
سوالات متداول
1.آیا آبسه دندان می تواند خطرناک باشد؟
به طور کلی آبسه لثه در ابتدا خطر چندانی ندارد. اما اگر این بیماری عفونی و مزمن متوقف نشود، ممکن است با پیشروی بسیاری از بخش های دهان، دندان، فک و صورت را در گیر کند. تا جایی که سلامت و جان فرد با خطر جدی مواجه شود. بنابراین در صورت مشاهده آبسه دندان سریعاً پیشگیری و راه درمانی خانگی را انجام دهید. در صورتی که آبسه دندان یا لثه برطرف نشد، به مراکز تخصصی دندانپزشکی (مطب ها و کلینیک ها) مراجعه کنید.
2.آیا تورم و درد ناشی از عصب کشی، آبسه عفونی محسوب می شود؟
خیر، در بسیاری از موارد درد و تورم به دلیل التهاب بخش عصب کشی شده می باشد و هیچ ربطی به آبسه دندان ندارد. البته در بعضی مواقع عدم رعایت نکات بهداشت دهان و دندان و مصرف نادرست آنتی بیوتیک ممکن است منجر به آبسه عفونی هم شود. بنابراین بعد از عصب کشی به طور خودسرانه مصرف داروهای خشک کننده و آنتی بیوتیک را رها نکنید.
3.آبسه موجب لقی دندان ها می شود؟
بله، در بعضی موارد آبسه عفونی موجب لق شدن دندان ها می شود. البته در این خصوص نگران نباشید؛ چرا که با درمان آبسه دندان، مشکل لقی دندان به طور کامل برطرف خواهد شد.




5 پاسخ
راه حلهای زیادی که تو این مقاله گفتین درباره انواع آبسه لثه جالب و مهم بود. فقط یه سوال دارم، تو محتوا مشخص نشده برای بچهها هم همین راهها خوبه یا نه. وقتی بچهم درد میکشه واقعاً عاصی میشم و دکترا هم معمولاً بچهها رو با داروهای قوی نمیفرستن خونه در عوض به راهکارهای خونه بیشتر تکیه میکنن.
آبسه پری اپیکال واقعاً چیز بدیه. من خودمم چند وقت پیش تجربهشو داشتم و لحظهای که متورم شد، پدرم در اومد از شدت درد. به نظرم مهمترین چیز اینکه هر چی زودتر بری دکتر تا مشکلت بدتر نشه. مراقبت از دندونها هم خیلی مهمه که دوباره پیش نیاد، مثلاً مرتب نخ دندون بکشی و مسواک بزنید.
من با اینکه همیشه بهداشت دهان و دندونمو رعایت میکردم، ولی آخرش آبسه گرفتم! فکر کنم به خاطر یه پوسیدگی کوچیکی بود که جدی نگرفتمش. کمکم لثهم قرمز و متورم شد، بوی بد دهنم هم بدتر شد. خلاصه با یه درد کشنده مجبور شدم برم دندونپزشکی. دکترم گفت آبسه پریودنتاله و باید سریع تخلیه بشه. از اون روز فهمیدم آبسه دندون چیزیه که شوخی نداره، حتی با رعایت هم ممکنه اتفاق بیفته.
من پارسال تجربه خیلی بدی با آبسه دندون داشتم. اولش فک کردم چیز خاصی نیس، فقط یه کم لثهم درد میکرد. ولی دو روز بعد صورتم ورم کرد انگار مشت خورده باشم 😣 اون موقع تازه فهمیدم که قضیه جدیه. رفتم دندونپزشک، گفت آبسه پری اپیکاله و اگه دیرتر میومدی، ممکن بود به استخون فک برسه! مجبور شد با بیحسی تخلیهش کنه، بعدم عصبکشی کرد. راستش دردش قابل تحملتر از اونه که آدم ول کنه و منتظر بدتر شدنش باشه. فقط کاش زودتر رفته بودم. الان هر کسی یه درد مشابه داره بهش میگم جدی بگیر، چون آبسه شوخیبردار نیس.
یه سوال دارم، کسی بوده بعد از عصبکشی دچار آبسه شده باشه؟ من یه دندون عقبیمو پارسال عصبکشی کردم ولی الان دو هفتهست یه ورم کوچیک بالا اومده و یه بوی بد هم از اون ناحیه حس میکنم. یعنی ممکنه کامل تخلیه نشده باشه؟ یا اینکه یه مشکل دیگهاس؟ دندونپزشک گفت احتمالاً یه عفونت پنهان بوده که الان خودشو نشون داده. ولی خیلی نگرانم نکنه کل فکم درگیر شه. اگه کسی تجربه مشابه داره لطفاً راهنمایی کنه 🙏